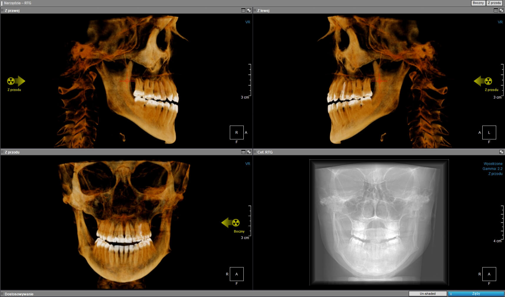
Tomografia CBCT jest metodą diagnostyki, w której za pomocą promieni rentgenowskich uzyskuje się wielowarstwowe, przekrojowe obrazy głowy. Z uwagi na niezwykle wszechstronny zakres zastosowań tomografia stała się podstawową, wysokospecjalistyczną metodą obrazowania we wszystkich dziedzinach stomatologii.

Wskazania do tomografii CBCT głowy są bardzo szerokie. Jest to obecnie najdokładniejsze badanie w diagnostyce stanów chorobowych dotyczących szeroko pojętej głowy (twarzoczaszka, zatoki przynosowe, ucho wewnętrzne, drogi oddechowe, stawy skroniowo-żuchwowe).
Obrazy cienkich warstw pozwalają uzyskać wysokiej jakości rekonstrukcje trójwymiarowe wykorzystywane w ocenie ortodontycznej, chirurgicznej i implantologicznej. Najczęstsze zastosowania dotyczą oceny pourazowej, przedoperacyjnej, stanów zapalnych, zmian nowotworowych, zębów zatrzymanych, anomalii endodontycznych, chorób przyzębia.
Dzięki technologii tomografii CBCT wykonuje się szablony chirurgiczne do planowania implantów zębowych, modele 3D uzębienia do prac protetycznych, analizy cefalometryczne leczenia ortodontycznego oraz rekonstrukcje 3D przed operacją plastyczną.
Nasz zakład radiologiczny dysponuje aparatem tomograficznym Scanora 3D firmy Soredex.

Podczas badania pacjent siedzi na fotelu w wygodnej pozycji. Badanie wykonuje się bez podania środka cieniującego. Dzięki zastosowaniu najnowszych rozwiązań technologicznych, skróceniu uległ czas ekspozycji, który wynosi pomiędzy 3-6 sekund, co ma duży wpływ na ograniczenie dawki promieniowania.
Porównanie dawek promieniowania:
MEDICAL CT
![]()
AVERAGE CBCT
![]()
PANORAMIC
![]()
SCANORA® 3D
![]()
PRZYGOTOWANIE
Dla małych dzieci istnieje możliwość wizyty adaptacyjnej i zapoznania się z procedurą wykonywania badania. W tych przypadkach należy skontaktować się z pracownią w celu ustalenia terminu.
W DNIU BADANIA
Prosimy zgłosić się 15 minut przed umówioną godziną badania. Badanie odbywa się na podstawie czytelnie wypełnionego przez lekarza skierowania.
ODBIÓR WYNIKU
Wynik (opis) badania jest do odebrania w Rejestracji w umówionym terminie. Wynik można odebrać osobiście lub przez upoważnioną przez siebie osobę. Pacjent otrzymuje:
- badanie zarejestrowane na płycie CD,
- rachunek zgodnie z obowiązującym cennikiem usług.
PRZECIWSKAZANIA
Badania tomograficznego nie stosuje się u kobiet w ciąży.