
Tomografia CBCT zębów
Zdjęcia 3D wykorzystywane są przez wszystkie specjalności stomatologiczne. Trójwymiarowe badania tomograficzne pojedynczych zębów oraz całego uzębienia pozwalają na uzyskanie pełnego obrazu tkanek ze wszystkich stron oraz dają możliwość stosowania wielu narzędzi informatycznych.

Tomografia CBCT zatok
Dzięki tomografii CBCT laryngolodzy mają możliwość kontroli stanu wszystkich zatok oraz obejrzenia ich od środka z wykorzystaniem wirtualnej endoskopii. W zakres badania wchodzić może również kontrola ucha środkowego oraz kości skroniowej.

Tomografia CBCT całej twarzoczaszki
Tomografia całej części twarzowej czaszki pozwala na wirtualne zaplanowanie leczenia ortodontycznego oraz nawet najbardziej skomplikowanych zabiegów chirurgicznych. W szczególności najlepiej sprawdza się przy kompleksowym leczeniu z zakresu chirurgii szczękowo-twarzowej.

Pantomogramy cyfrowe
Zdjęcia pantomograficzne umożliwiają kompleksową ocenę całego uzębienia. Szerokie możliwości diagnostyczne, obniżona dawka promieniowania, możliwość powiększania i kontrastowania oraz cyfrowa archiwizacja, to jedne z największych zalet tego rodzaju zdjęć.

Zdjęcia cefalometryczne
Cefalometria umożliwia bardzo dokładną diagnostykę wad ortodontycznych. Są to zdjęcia głowy wykonywane w kilku różnych projekcjach widokowych, portretowych oraz przednio-tylnych. Na życzenie lekarza wykonujemy dodatkowo analizy cefalometryczne zdjęć tele-bocznych.

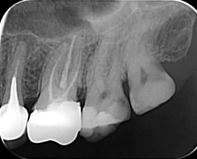
Zdjęcia wewnątrzustne
Zębowe zdjęcia wewnątrzustne są najczęściej zlecanymi badaniami radiologicznymi. Umożliwiają ocenę tkanek zębów, sąsiednich struktur kostnych oraz kontrolę leczenia. Wykonujemy zdjęcia wierzchołkowe w technice kąta prostego oraz skośnej, zdjęcia zgryzowe szczęki i żuchwy oraz zdjęcia zgryzowo-skrzydłowe.